导航切换
我的
导航切换
专业
搜索
节目
画面
研报
注册/登录
个性定制
|
内容总结
章节片段
字幕全文
思维导图
深度学习
追问
拖动时间轴点击获取起止时间码,截取片段时长
不能超过
5分钟
×
点击获取
开始时间:
点击获取
结束时间:
保存片段标题:
保存
|
分享
QQ好友
QQ空间
页面地址:
复制
复制链接给好友,分享精彩视频
扫一扫手机观看&分享
对不起,您不在IP段范围内,无法观看
1698 播放
收藏
片段保存及分享
播放有问题?
请戳这里
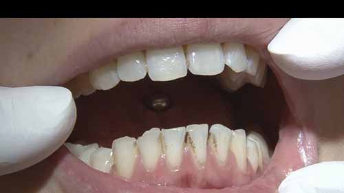
活根管治疗
时长:31 分钟
类别:口腔医学
简介:根管治疗术又称牙髓治疗,是牙医学中治疗牙髓坏死和牙根感染的一种手术。我们一起来看看医生利用根管显微镜,演示完整的根管治疗过程。
标签:
教学
口腔医学
牙髓学
相关视频:
牙齿美白的风险
每个人都想拥有一口洁白的牙齿,但是牙齿美白存在风险。我们将介绍牙齿美白的各种风险,以及如何减少牙齿美白后的敏感性。
I类洞的制备与修复
发生于所有牙齿的发育窝、沟内的龋损所制备的窝洞,称为I类洞。在这段视频中,我们将使用汞合金作为填充材料,来制备和修复I类洞。
超声洁牙机
超声洁牙机是牙医用来去除牙菌斑和牙结石的重要工具。这段视频将介绍超声波的工作原理,以及如何使用超声洁牙机,保护口腔卫生。
正畸紧急情况处理
牙齿正畸是一场不折不扣的持久战。在漫长的矫正过程中,矫治装置难免会突然出现一些小问题,比如托槽断裂,钢丝滑出,脸颊两侧发炎等,现在教大家一些处理这些问题的方法。
牙齿清洁抛光膏
CleanJoy是一种含氟的牙齿抛光膏,有助于牙齿天然硬组织的再矿化和强化。这段视频介绍了三种等级的抛光膏及其使用方法。
窝洞入口
在这段视频中,我们将看到Baysan医生找到全冠预备的窝洞入口,并采用冠向下预备技术建立上颌中切牙根尖开放。
II类洞的制备与修复
发生于后牙邻面的龋损所制备的窝洞,称为Ⅱ类洞。在这段视频中,我们将使用汞合金作为填充材料,来制备和修复II类洞。一起来看看整个手术过程吧。
如何清洁牙科器械
口腔器械内部结构复杂、腔隙多,治疗后粘有患者的血液、唾液、龈沟液以及感染的牙组织碎屑等,这些污染物都可能会粘附在器械表面,不易清洗消毒,甚至导致腐蚀和生锈。此外,由于附着在器械表面的碎屑以及去污过程中的残留物(如洗涤剂等)会抑制或干扰灭菌过程,因此,口腔器械清洗是复用处理的重要环节。
观看记录: