导航切换
我的
导航切换
专业
搜索
节目
画面
研报
注册/登录
个性定制
|
内容总结
章节片段
字幕全文
思维导图
深度学习
追问
拖动时间轴点击获取起止时间码,截取片段时长
不能超过
5分钟
×
点击获取
开始时间:
点击获取
结束时间:
保存片段标题:
保存
|
分享
QQ好友
QQ空间
页面地址:
复制
复制链接给好友,分享精彩视频
扫一扫手机观看&分享
对不起,您不在IP段范围内,无法观看
1788 播放
收藏
片段保存及分享
播放有问题?
请戳这里
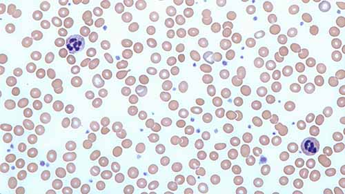
疟疾薄涂片制备
时长:13 分钟
类别:医学检验技术
简介:疟疾寄生虫可通过血涂片来检查。在今天的课程中,我们将详细介绍疟疾薄涂片制备、染色和检查的相关知识。
标签:
教学
医学检验技术
血液学检验
相关视频:
放射性衰变方程
什么是放射性衰变?什么是放射性衰变方程?衰变有几种类型?这就是我们即将讨论的问题。
IFA检测2IFA模式识别与HEp-2细胞
了解HEp-2细胞的组成成分将有助于抗核抗体IFA模式识别。让我们深入了解抗原是如何与患者血清中的抗体起反应的。
SDSPAGE蛋白分析1倒入凝胶
SDS-PAGE是一种常用的电泳技术,倒入凝胶是蛋白电泳的第一步。一起来看看倒入凝胶的操作流程。
荧光显微镜
本期动画介绍了荧光显微镜的定义、工作原理、用途和常用的荧光染料。
ELISA免疫分析原理
酶联免疫吸附测定(ELISA)是免疫学中的经典试验,本期教程从定义、基本原理、分类方法、操作要点等方面对其进行了详细介绍。
SDSPAGE蛋白分析4蛋白质染色
在这段视频中,我们用考马斯蓝染料对分离的蛋白质进行染色,以使其可视化。
做血涂片检查白细胞计数
准备制作血涂片所需的材料,抽取指尖血,然后把样品滴在载玻片上,进行染色。最后在显微镜下进行检查。
检测尿液中的糖
在尿液中,糖的含量通常很低或根本不存在。尿液中异常高的糖分,被称为糖尿,通常是高血糖的结果。在实验室检测或是在家里用尿尺检测都能够检测出尿液中的糖。这段视频解释了如何检测给定尿液样本中是否存在糖。
观看记录: