导航切换
我的
导航切换
专业
搜索
节目
画面
研报
注册/登录
个性定制
|
内容总结
章节片段
字幕全文
思维导图
深度学习
追问
拖动时间轴点击获取起止时间码,截取片段时长
不能超过
5分钟
×
点击获取
开始时间:
点击获取
结束时间:
保存片段标题:
保存
|
分享
QQ好友
QQ空间
页面地址:
复制
复制链接给好友,分享精彩视频
扫一扫手机观看&分享
对不起,您不在IP段范围内,无法观看
1788 播放
收藏
片段保存及分享
播放有问题?
请戳这里
头部磁共振血管造影
时长:14 分钟
类别:医学影像技术
简介:头部磁共振血管造影常用于评估大脑血管,包括颈动脉、椎动脉和Willis环。这段视频介绍了评估头部MRA的方法。
标签:
教学
医学影像技术
磁共振
相关视频:
医疗影像设备服务市场
由于疾病流行,老年人口增加,预计未来几年对先进诊断的需求将迅速上升,这段视频介绍了2022-2027年全球医学影像设备服务市场的发展趋势。
经食道超声心动图——图像获取
通过现场演示,来介绍经食道超声心动图的相关知识,涵盖了如何插入探头、如何移动探头,如何获取不同的超声图像等内容。
放射学和计算机断层扫描
本期课程涵盖了放射学的历史、X射线原理、CT窗位、CT造影等内容。
X光是怎么产生的
X光成像简单、快速,被广泛应用于临床。让我们通过实验来了解X光产生的基本原理。
超声成像的原理
了解超声系统的基础知识,包括超声的定义、超声探头、多普勒超声、超声机器是如何工作的。
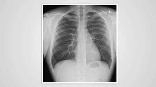
了解胸部X光——形状的重要性
在今天的教学视频中,你将了解气管,主动脉,心脏等组织在胸部X光片上呈现出什么形状。
了解胸部X光——灰度的重要性
不同密度的组织在胸部X光片上呈现出不同的灰色阴影。我们一起来看看空气、软组织、骨头和金属在x光片上是什么样子。
如何利用超声成像鉴别阑尾炎
阑尾可能很小,但它会给任何不幸患阑尾炎的病人带来大量的问题。通过视频,你将能够通过超声波图像来区分正常的阑尾和发炎的阑尾。
观看记录: