导航切换
我的
导航切换
专业
搜索
节目
画面
研报
注册/登录
个性定制
|
内容总结
章节片段
字幕全文
思维导图
深度学习
追问
拖动时间轴点击获取起止时间码,截取片段时长
不能超过
5分钟
×
点击获取
开始时间:
点击获取
结束时间:
保存片段标题:
保存
|
分享
QQ好友
QQ空间
页面地址:
复制
复制链接给好友,分享精彩视频
扫一扫手机观看&分享
对不起,您不在IP段范围内,无法观看
1778 播放
收藏
片段保存及分享
播放有问题?
请戳这里
外科影像市场
时长:2 分钟
类别:医学影像技术
简介:我们将从技术、应用和终端用户等方面,来分析2022年的外科影像市场以及2029年的发展趋势。
标签:
教学
医学影像技术
医学成像
相关视频:
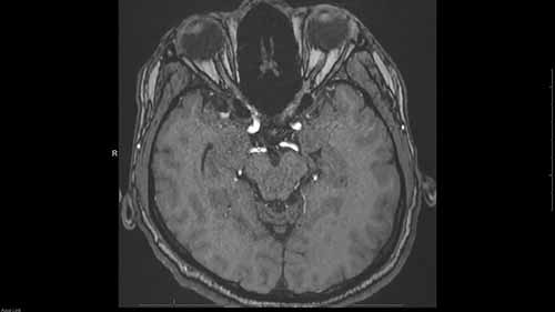
头部磁共振血管造影
头部磁共振血管造影常用于评估大脑血管,包括颈动脉、椎动脉和Willis环。这段视频介绍了评估头部MRA的方法。
袖珍超声设备
ButterflyiQ是一款超紧凑,口袋大小的便携式超声设备,整个超声波技术内置于手持机身内,超声波可用于整个身体成像。
什么是透视
透视检查利用X射线实时生成内部器官的图像,用于帮助诊断食道、胃、十二指肠和小肠的问题。
心脏磁共振适成像
心脏磁共振成像(CMR)是指用磁共振成像技术诊断心脏及大血管疾病的方法。本次课程讲解了在什么情况下做CMR检查以及CMR的临床应用。
经食道超声心动图——图像获取
通过现场演示,来介绍经食道超声心动图的相关知识,涵盖了如何插入探头、如何移动探头,如何获取不同的超声图像等内容。
了解胸部X光——形状的重要性
在今天的教学视频中,你将了解气管,主动脉,心脏等组织在胸部X光片上呈现出什么形状。
CT造影扫描
CT检查已成为医学影像学非常重要的诊断方法,CT造影的应用范围也非常广泛。在这里,我们将了解在医院进行CT造影扫描的整个流程。
了解胸部X光——重叠的重要性
如果你想看懂胸部X光片,你需要知道胸腔中不同的解剖结构如何相互作用来创建影像。
观看记录: