导航切换
我的
导航切换
专业
搜索
节目
画面
研报
注册/登录
个性定制
拖动时间轴点击获取起止时间码,截取片段时长
不能超过
5分钟
×
点击获取
开始时间:
点击获取
结束时间:
保存片段标题:
保存
|
分享
QQ好友
QQ空间
页面地址:
复制
复制链接给好友,分享精彩视频
扫一扫手机观看&分享
对不起,您不在IP段范围内,无法观看
224 播放
收藏
片段保存及分享
播放有问题?
请戳这里
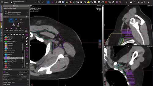
射波刀治疗指南:放射治疗
时长:3 分钟
类别:放射治疗技术
简介:模拟定位结束后,放射治疗团队为患者制定安全的治疗计划,然后患者开始接受放射治疗。
标签:
教学
放射治疗技术
外照射治疗
射波刀治疗
相关视频:
磁共振引导放射治疗
新型的磁共振引导放射治疗是一种高精度的放射治疗,可以帮助临床医生微调放射治疗计划。
前列腺放射治疗
一名前列腺患者前往牛津大学医院进行放射治疗,从前期准备一直到放疗结束一共要经历11个阶段。
医学剂量师的职责
医学剂量师在质子治疗中起着非常重要的作用,剂量师与物理师和放射肿瘤学家合作,为患者优化放射治疗计划。
Perfexion型伽玛刀
神经外科主任向我们介绍了Perfexion型伽玛刀的工作原理和治疗优势。
外放射治疗前列腺癌
前列腺癌可以选择不同类型的放射治疗,医生讲解了调强放疗(IMRT)和体部立体定向放射治疗(SBRT)这两种治疗方法。
乳腺癌区域淋巴结放疗勾画01
向大家简单展示乳腺癌区域淋巴结照射之前,心脏等危及器官的勾画过程。
伽马刀放射外科手术详解
医学博士讨论了什么是伽玛刀放射外科手术,以及如何在不出现传统切口的情况下使用伽玛刀治疗脑肿瘤。
肽受体放射性核素疗法的应用
埃里克讨论了洛基山癌症中心对神经内分泌癌患者的肽受体放射性核素疗法(PRRT),该疗法是一种基于抗癌药Lutathera(镥氧奥曲肽)的靶向放射治疗。
观看记录: