导航切换
我的
导航切换
专业
搜索
节目
画面
研报
注册/登录
个性定制
拖动时间轴点击获取起止时间码,截取片段时长
不能超过
5分钟
×
点击获取
开始时间:
点击获取
结束时间:
保存片段标题:
保存
|
分享
QQ好友
QQ空间
页面地址:
复制
复制链接给好友,分享精彩视频
扫一扫手机观看&分享
对不起,您不在IP段范围内,无法观看
1926 播放
收藏
片段保存及分享
播放有问题?
请戳这里
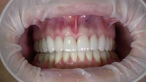
全瓷冠牙体预备
时长:5 分钟
类别:口腔医学
简介:全瓷冠牙体预备在烤瓷冠或者全瓷冠制作过程中是非常重要的。这段视频演示了全瓷冠牙体预备的具体步骤。
标签:
教学
口腔医学
口腔修复
相关视频:
种植牙3D动画教程
种植牙可以获得与天然牙功能、结构以及美观效果十分相似的修复效果,已经成为越来越多缺牙患者的首选修复方式。我们的3D动画展示了种植牙的过程。
正畸头帽预备1
正畸头帽是矫正错牙合畸形常用的一种口外矫正装置。医生们根据患者的年龄和畸形程度来预备头帽。
单诊美齿奈米片临床应用
单诊美齿奈米片是由预先聚合的纳米复合树脂组成,可与天然牙齿做纳米等级的粘合,效果美观持久,是现代牙科美学不可错过的高科技材料。一起来看看牙医如何安装单诊美齿奈米片。
如何使用牙齿美白胶
牙齿美白胶是一种快速有效的专业美白牙齿的药物。在牙科诊所美白牙齿,大约需要一个小时。一起来看看牙医是如何使用牙齿美白胶的。
开放托盘印模技术
在医学的牙齿治疗过程中,通常需要制取口腔内的牙齿印模。这段视频演示了使用开放托盘印模技术进行牙齿桥接的整个过程。
II类洞的制备与修复
发生于后牙邻面的龋损所制备的窝洞,称为Ⅱ类洞。在这段视频中,我们将使用汞合金作为填充材料,来制备和修复II类洞。一起来看看整个手术过程吧。
闭合托盘印模技术
在将种植体植入牙槽骨内后,需要对牙齿进行印模,通过印模制作缺齿位置的牙冠,制出的牙冠安装在种植体上,完成整个种植过程。这段视频演示了使用闭合托盘印模技术对单颗牙齿进行印模。
I类洞的制备与修复
发生于所有牙齿的发育窝、沟内的龋损所制备的窝洞,称为I类洞。在这段视频中,我们将使用汞合金作为填充材料,来制备和修复I类洞。
观看记录: